Immigration agents X-raying migrants to determine age isn't just illegal, it's a misuse of science
If an undocumented migrant is a minor or an adult can have far-reaching implications. A forensic anthropologist explains why relying solely on dental X-rays to determine age doesn't work.

A teenager’s father is murdered in Somalia, and the boy travels to the United States seeking asylum. Another teen’s father and brother are murdered by extremist groups in Afghanistan and he too makes his way to the U.S. to seek asylum. Since both are minors, federal law decrees that they must be held separately from adults under the oversight of the Office of Refugee Resettlement (ORR).
However, in these two cases, and an unknown number of others, these minors were taken in handcuffs by Immigration and Customs Enforcement and held in adult detention facilities. The reason? In the absence of other information that could corroborate the teens’ self-reported ages, analysis of their dental X-rays revealed that both could be adults.
Lawyers for these two teens sued on the grounds that sole reliance on X-rays for age determination is illegal, and several federal judges agreed.
As a forensic anthropologist, I support these judicial decisions. My work can include estimating the ages of deceased persons using X-rays of bones and teeth, and I’m intimately familiar with the limitations of how specific these techniques can be. In my field, we generate an age range alongside several caveats; it’s irresponsible for ICE to rely solely on X-rays to provide a definitive answer in determining if a person is a minor or an adult.
What can bones and teeth tell us?
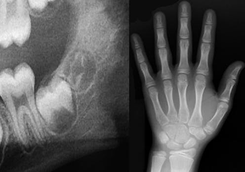
Forensic anthropologists study the hard tissues of the human body, which includes bones and teeth. I’m typically charged with estimating biological characteristics of deceased persons, including how old a person was when they died.
For children and teenagers, such an analysis can be carried out by examining X-rays. Growth and development are predictable processes, and milestones occur in a particular order. This is the reason that a tooth such as the first adult molar is also known as the “six-year molar,” because it generally erupts in everyone around age 6, give or take.
The analysis proceeds the same way whether we’re examining the X-rays of a living or deceased person. Essentially, we compare the stage of growth shown in the X-ray to existing growth charts from children and teenagers of known ages.
The crucial point is that it’s not possible to make a definitive, single age determination from X-rays or examination of bones or teeth. A variety of factors affect how well chronological age corresponds with biological age; that is, the amount of time since birth doesn’t necessarily correlate to the exact same stage of growth in every child or teenager.
Lots of things can influence how well biological and chronological age line up, including nutrition, environmental exposure to disease-causing germs and viruses (and their level of virulence), whether the person has been vaccinated against preventable diseases, body weight, hormones and genetics, among many others.
While these factors differ between individuals, they also differ broadly between populations of people – for instance, as a group, Americans likely develop at a different rate than sub-Saharan Africans.
Many of the studies relied upon to make age estimations are based on populations not representative of the individuals to whom they’re being applied. Therefore, a certain amount of error can be expected in the final age estimation. What’s more, this error is immeasureable. Without scientific studies on growth that are specific to each population, we don’t know if on average, Population A ages six months, one year or two years faster or slower than Population B. And while many methods are bolstered by a statistical likelihood, this is not the same thing as being certain. We can never be 100 percent sure.
Estimation ranges versus exact ages
Of course, the amount of time since birth is the legally important age. But because a disparity exists, forensic anthropologists refer to the results of the scientific methods we use as “age estimation.” The estimation will never be a pinpointed exact age, because of the variation that exists between individuals and between populations of people.
Therefore, forensic anthropologists report age estimations as a range. For example, rather than saying someone is 17 years and 8 months old, our estimation may be that she is between 17 and 20 years old.
Sometimes, the estimated age range might include ages below and above 18. Take the development of the wisdom tooth, something we often look at when estimating age of older teenagers and young adults. But the development of this tooth is extremely variable, ranging from never developing at all to erupting anywhere from the mid-teens to early 20s. In such cases, how would a final decision of adult or minor status be made?
Federal law dictates that X-rays in cases where adult age is not obvious be used only in concert with other methods, such as verification of documentation and interviews. This makes sense because X-rays only provide orienting information rather than a definitive answer.
The recent court cases demonstrate that ICE has broken the law by exclusively relying on X-rays for age determination, ruling that the teens be released back into ORR’s custody as minors. Are these cases isolated or illustrative of a bigger problem? A 2008 report by the Office of Homeland Security found that it was not only unclear how often ICE needed to resort to X-rays to assist with age determination, but unknown how common it was for them to rely solely on X-ray results. Without accurate numbers, there is no way to know how widespread the practice is or how to improve the process.
The stakes are high. Children – especially unaccompanied ones – are especially vulnerable. For this reason, the 1997 Flores Settlement Agreement, which ICE is bound by, stipulates that migrant minors be kept separate from unrelated adults.
Given recent news that ORR doesn’t know the whereabouts of almost 1,500 children it placed, many people have lost confidence in these agencies to do the right or moral thing regarding migrants. If ORR can’t keep track of children under its care, can ICE be trusted to lawfully treat people whose ages are uncertain?
In this situation, the law is consistent with the science. And as a scientist, I am obligated to ensure my interpretations are not used irresponsibly in a way that could cause harm. Citizens, scientists and government officials alike should ensure that refugees and migrants are treated fairly, with the dignity and respect they deserve, and in a way consistent with how we would expect to be treated. Making age determinations based on X-rays alone is not in line with that goal and can have serious punitive consequences for young migrants.
Elizabeth A. DiGangi is affiliated with the ACLU.
Read These Next
HIV knows no borders, and the Trump administration’s new strategy leave Americans vulnerable – an HI
The America First Global Health Strategy aims to secure US interests but may instead undermine it by…
Why people don’t demand data privacy – even as governments and corporations collect more personal in
How people talk about data privacy can overcome – or reinforce – their skepticism that things can…
Bad Bunny and Puerto Rican Muslims: How both remix what it means to be Boricua
Like Bad Bunny’s music, Puerto Rican Muslims’ lives challenge ideas about race, religion and belonging…




